Pay Online
Northeast Family Dental Care
Smile Gallery
Cosmetic Dentistry

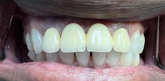
Before

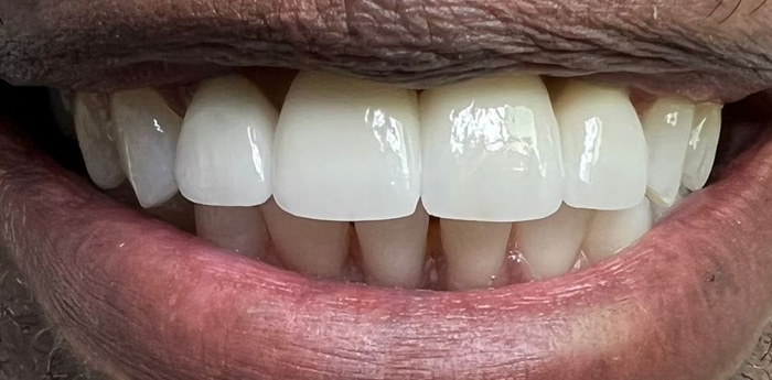
After
This patient had an older metal/ceramic bridge that, over time, began to look more yellow compared to his adjacent teeth. He requested a more cosmetic solution, so Dr. Arshad replaced his old bridge with a new, all-ceramic bridge that really complements his natural teeth and smile!

Before

After
This patient drinks a lot of coffee and wanted to get her teeth bright again, so we completed our in-office ZOOM whitening procedure.

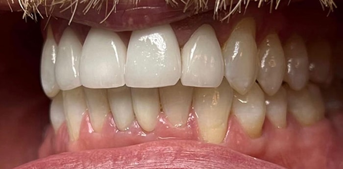
Before

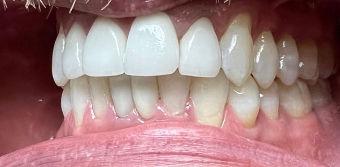
After
At Northeast Family Dental Care, we utilize Philips ZOOM In-Office whitening system to brighten our patient's smiles. Here, a 40 year old male wanted to whiten his teeth, so we did an in-office treatment for him. What great results!
Dental Implants

Before

After
This female patient had been wearing an ill-fitting, upper removable partial denture for many years and came to our office seeking a better solution. Dr. Sam and Dr. Arshad worked together to replace her upper teeth with a brand-new, fixed implant prosthesis. These new fixed teeth will allow our lovely patient to chew and smile with confidence and radiance!

Before

After
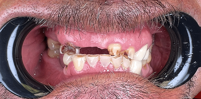
Our patient was missing teeth on his top right side and requested to have them replaced with dental implants. Dr. Arshad placed two implants and crowns and was able to restore our patient's bite on the right side. We also filled in his nice smile with new teeth!

Before

After
This lovely patient had an unfortunate traumatic injury to her front teeth which left several of them needing to be removed. We were able to remove them and replace them with a new, dental implant bridge. Check out her beautiful new smile!

Before

After
This pleasant gentleman works with people on a daily basis for his job. Unfortunately, he suffered tooth loss at an earlier age and was committed to fixing his smile again. He came to us and Dr. Sam and Dr. Arshad worked to get him upper and lower fixed full-arch implant-supported prostheses. He now looks 10 years younger and loves his new teeth and smile. What an amazing transformation!

Before

After
This patient came to us after having suffered years of broken, decayed teeth. Our comprehensive treatment plan involved removing all of his upper teeth and fitting him with a full arch implant-supported prosthesis (All-On-X). He now has a new, beautiful smile to showcase to the world.

Before

After
This middle-aged gentleman had been wearing an ill-fitting, loose partial denture for many years. He came to our office seeking a fixed solution for his lower teeth. Dr. Sam and Dr. Arshad worked together to give our patient a new, fixed smile with a lower All-On-Four fixed implant bridge. Our patient is now able to chew and speak with comfort and confidence.

